Omicron ile ilgili ilk laboratuvar sonuçları geldi!
Omicron varyantı ile ilgili ilk laboratuvar sonuçları geldi! DSÖ'den flaş açıklama
Koronavirüs salgınında geçtiğimiz haftalarda ortaya çıkan Omicron varyantı ile ilgili Dünya Sağlık Örgütü'nden önemli açıklamalar geldi. Güney Afrika'da ortaya çıkan yeni varyant omicron ile ilgili ilk laboratuvar testi sonuçları geldi. DSÖ'den konuya ilişkin yapılan açıklama ile tartışmalara son nokta konuldu. Ayrıca Omicron varyantının elektron mikroskobu görüntüsünün ortaya çıkarıldığı duyuruldu. İşte detaylar..
Güney Afrika'da ortaya çıkan koronavirüs salgınının yeni varyantı Omicron ile ilgili ilk laboratuvar test sonuçları açıklandı.Sonuçların gelmesinin ardından Dünya Sağlık Örgütü'nden Omicron varyantına iliştin çarpıcı açıklamalar geldi.
DİĞER VARYANTLARDAN GÜÇLÜ DEĞİL!
Araştırmacılar, aşıların oluşturduğu antikorların yeni varyantlara karşı etkisinde "büyük bir düşüş" olduğunu söylüyor. Ancak AFP haber ajansına konuşan WHO acil durum direktörü Mike Ryan ise, Omicron'un halihazırda kullanılan aşılara karşı diğer varyantlardan daha güçlü olduğuna dair bir gösterge olmadığını söyledi:
"ETKİLİ OLDUĞUNU KANITLAYAN AŞILARIMIZ VAR"
"Bugüne kadar bütün varyantlara karşı, hastaneye yatışlar ve ölümlerdeki azalma göz önüne alındığında etkili olduğunu kanıtlamış çok güçlü aşılarımız var. Omicron için de bunun geçerli olmayacağını varsaymak için hiçbir gerekçemiz yok."
"BİR FARK VARSA O DA..."
İlk verilere göre Omicron varyantının insanları Delta ve diğer varyantlardan daha fazla hasta etmediğini hatırlatan Dr. Ryan, "Bir fark varsa, o da semptomların daha hafif olduğudur" dedi.
NET BİR VERİ YOK
Afrika Sağlık Araştırmaları Enstitüsü'nden araştırmayı yürüten Prof. Dr. Alex Sigal, henüz Omicron'un aşıyla gelişen antikorlardan kaçma kapasitesi konusunda net bir veriye ulaşmadıklarını belirtti.
BEKLENDİĞİNDEN DAHA İYİ SONUÇ ALINDI
12 kişiden alınan kan örnekleri üzerinde yapılan çalışma sonucuna göre Prof. Sigal, "Omicron konusunda beklediğinden daha iyi sonuçları alındığını" söyledi.
CİDDİ BİR KORUMA SAĞLIYOR
Buna göre iki doz Pfizer aşısı olmuş kişilerde antikorların etkinliği azalsa da, bir kez Covid-19 hastalığına yakalandıktan sonra iki doz aşı olmuş kişilerde, Omicron'a karşı ciddi bir koruma sağlayan antikorların oluştuğu görüldü.
3. DOZ TAKVİYE AŞI
Bu da, 3. doz takviye aşıların Omicron'a karşı koruyuculuğu önemli ölçüde artıracağını ortaya koyuyor.
Pfizer aşısının Omicron varyantına karşı ne kadar etkili olduğu konusunda daha detaylı ve kesin bilgiler, önümüzdeki günlerde açıklanacak.
İngiltere Başbakanı Boris Johnson'ın sözcüsü de, Delta varyantına göre Omicron'un daha bulaşıcı olduğuna dair veriler olduğunu açıklamıştı. Ancak Omicron'un daha ağır hastalığa sebep olduğuna dair herhangi bir netleşmiş veri yok.
HAFİF BELİRTİLER GÖSTERİYOR
ABD'nin bulaşıcı hastalıklar konusunda en üst düzey danışmanı Dr. Anthony Fauci, araştırmaların ilk sonuçlarına göre Omicron'un daha bulaşıcı ama daha hafif belirtiler gösteren bir varyant olduğunu ifade etti.
Johns Hopkins Üniversitesi verilerine göre pandeminin başından bu yana, yani yaklaşık iki yıldır dünya çapında 267 milyon vaka görüldü; 5 milyondan fazla kişi Covid-19 sebebiyle hayatını kaybetti.
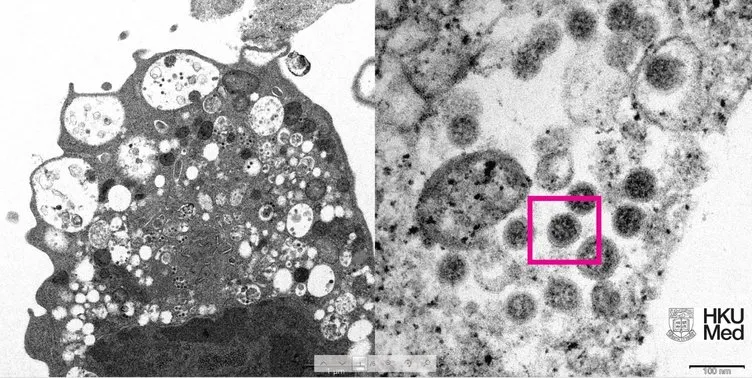
MİKROSKOP GÖRÜNTÜSÜ KAYDEDİLDİ

HKUMed'den yapılan açıklamada, araştırmacılar tarafından SARS-CoV-2 virüsünün Omicron varyantının elektron mikroskobu görüntüsünün ortaya çıkarıldığı belirtildi. Üniversite tarafından yayınlanan fotoğrafın solunda, küçük siyah viral partiküller içeren şişmiş veziküllerle hücre hasarını gösteren, SARS-CoV-2 Omicron varyantı ile enfeksiyondan sonra bir maymun böbrek hücresinin (Vero E6) düşük büyütmeli elektron mikrografının yer aldığı ifade edildi. Fotoğrafın sağında ise yüzeylerinde korona şekilli sivri uçlara sahip viral partikül kümelerini gösteren enfekte bir Vero E6 hücresinin yüksek büyütmeli elektron mikrografının yer aldığı belirtildi.
Güncellenme Tarihi : 8.12.2021 10:56